
目立ちにくい矯正で
理想の歯並びへ
横浜市保土ヶ谷区でマウスピース矯正
マウスピース矯正とは、一般的な矯正で用いられるブラケットやワイヤーを使用せず、マウスピースを使って歯並びを整える矯正治療です。マウスピースは薄くて透明な素材でできており、段階的に交換しながら、少しずつ歯を動かしていきます。矯正装置が目立ちにくいので、見た目を気にせずお過ごしいただけるのが大きなメリットです。また、マウスピースは自由に取り外しが可能であり、歯磨きがしやすいという利点もありますが、推奨する装着時間を守らないと矯正治療の結果に影響が出るので自己管理はとても重要になります。ブラケット矯正やワイヤー矯正と比較すると、費用を抑えて治療が可能な場合がありますので、まずは一度ご相談ください。※患者様の歯並びの状況などによって、治療方法は異なります。まずはご相談ください。
横浜市保土ヶ谷区でマウスピース矯正がおすすめの方
特に「見た目」や「快適さ」を重視しながら、横浜市保土ヶ谷区で矯正を進めたい方にはマウスピース矯正がぴったりです。
歯並びにコンプレックスがある方
人前で話すことが多く、見た目が気になる方
できるだけ周囲に気づかれたくない方
痛みや違和感の少ない矯正をご希望の方
金属アレルギーや虫歯リスクが心配な方
毎日20時間以上きちんと装着できる方
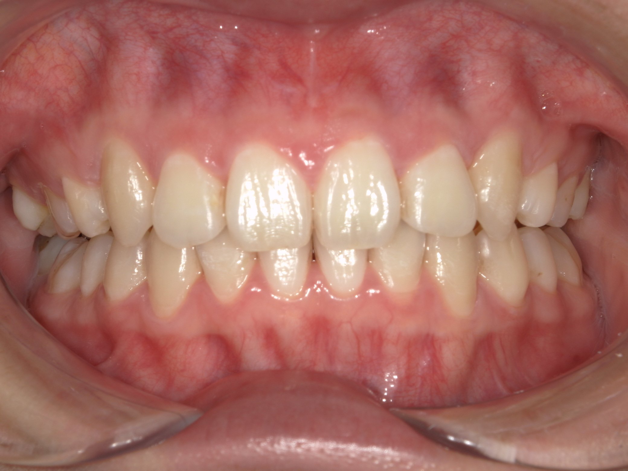
マウスピース矯正の症例
※以下の症例は、インビザラインと同様に透明で目立ちにくい『クリアコレクト』を使用したマウスピース矯正の症例です。
Before
(治療前)
After
(治療後)
患者様情報 23歳 女性 診断名 上顎前突、叢生(そうせい) 治療内容 マウスピース矯正(クリアコレクト) 期間・通院回数 約18か月 / 20回 費用(総額) 857,000円(税込) リスク・副作用 治療の初期段階では痛みや不快感が生じやすくなりますが、通常1週間前後で慣れていきます。 マウスピース矯正の症例 2
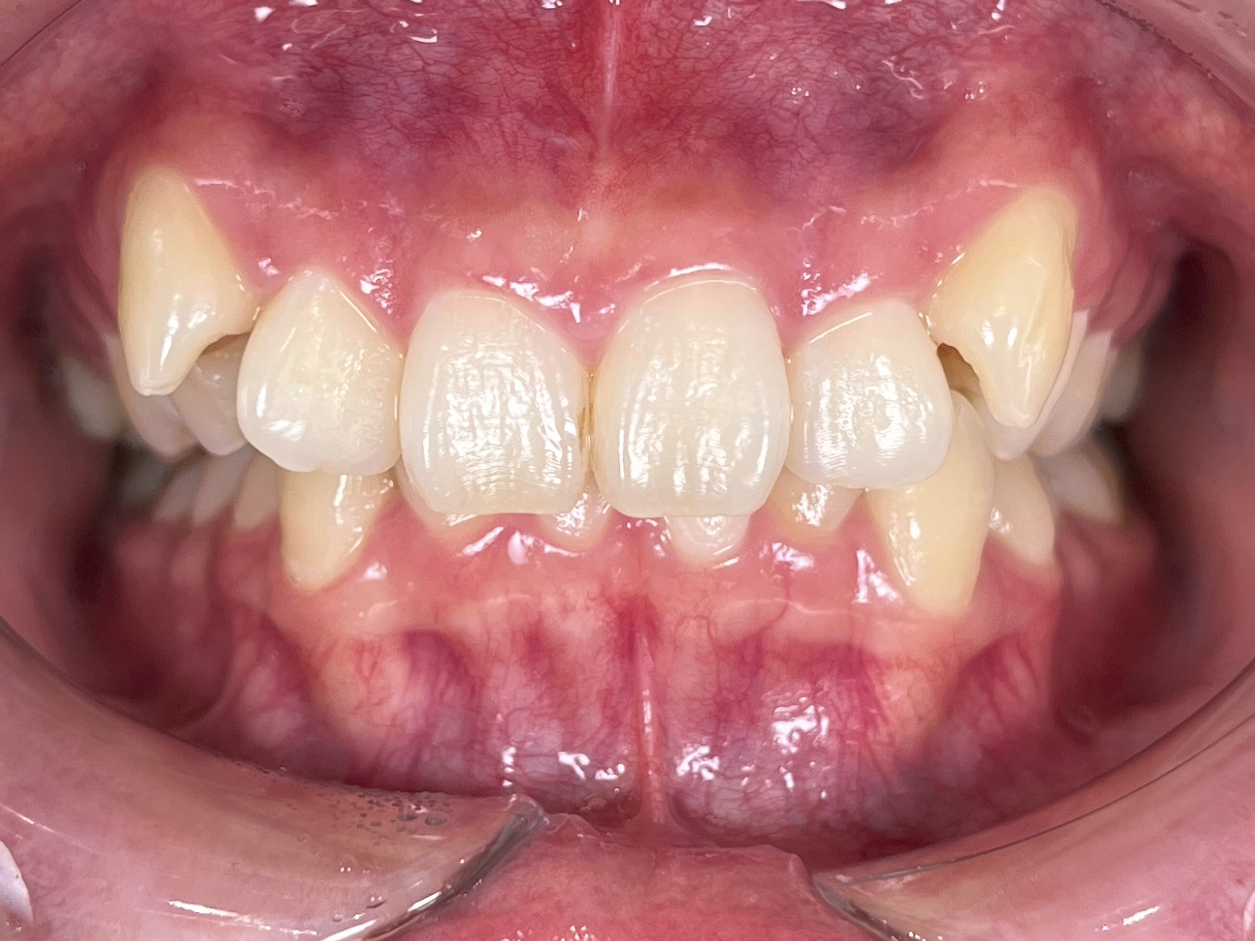
Before
(治療前)
After
(治療後)
患者様情報 19歳 男性 診断名 叢生 治療内容 マウスピース矯正(クリアコレクト) 期間・通院回数 20か月 / 9回 費用(総額) 755,000円(税込) リスク・副作用 治療の初期段階では痛みや不快感が生じやすくなりますが、通常1週間前後で慣れていきます。 当院で行うマウスピース矯正の特徴
横浜市保土ヶ谷区のオーサムデンタルクリニックが選ばれる理由には、次のようなメリットがあります。
矯正が初めての方でも始めやすい価格帯
治療期間が短くなる場合や部分矯正にも対応可能
透明で目立ちにくく、周囲に気づかれにくい
取り外し可能で衛生的、装着時の痛みも抑えられる
横浜市保土ヶ谷区で選べる
2つのマウスピース矯正
当院では「インビザライン」と「クリアコレクト」を取り扱っています。横浜市保土ヶ谷区の患者様の症例に合わせて最適なものをご提案します。

インビザライン
インビザラインは、アライン・テクノロジー社が1997年にアメリカで開発したマウスピース矯正治療です。現在では、世界100カ国以上で提供されており、非常に多くの症例に対応できる信頼性の高い治療法として知られています。3D画像によって治療後の歯並びのイメージを事前に確認でき、口腔スキャナーを使用することで精密なマウスピースを作製することができます。インビザラインで使用されている素材は、クリアコレクトと比べるとやや厚めで違和感を感じることもありますが、歯茎のラインでマウスピースがカットされているので、すぐに慣れていきます。

クリアコレクト
クリアコレクトは、世界トップシェアのインプラントメーカーであるストローマン社が開発したマウスピース矯正治療です。デジタル技術による精密な治療計画をもとに、1〜2週間ごとに新しいマウスピースへ交換しながら、段階的に歯を移動させていきます。インビザラインに比べると素材が薄く、見た目が自然であるのが特徴です。また、マウスピースが歯茎の数ミリ上まで覆う形なので、少し違和感があるかもしれませんが徐々に慣れていきます。矯正力が強めなので、やや複雑な歯並びの方にも適応できる場合が多い一方で、痛みが強く出ることもあります。

CONSULTATION マウスピース矯正の
選び方で迷ったら
どちらが適しているかは、患者様の歯並びの状態や治療のゴール、ライフスタイルなどによって異なります。当院では、丁寧なカウンセリングと精密な検査を行ったうえで、それぞれの特徴をふまえた最適な矯正方法をご提案いたします。「どちらを選べばよいか分からない」「自分に合った方法を知りたい」といった方も、どうぞ安心してご相談ください。
無料相談予約はこちらINITIAL CONSULTATION
横浜市保土ヶ谷区での
治療の流れ
- 01
- 02
歯並び相談・
レントゲン撮影患者様の歯並びの確認とレントゲン撮影を行い、歯と顎の状態を確認します。状況によっては他の治療を優先した方が良いケースや、矯正治療を始める時期を見送った方が良い場合もあります。無理に治療を進めることはせず、患者様と相談しながら一緒に治療計画を立てていきます。
- 03
資料採取(型採り)
まずは、患者様の歯型の採取や口腔内写真を撮影するなど、矯正治療に必要な資料採りをします。歯型の採取には口腔内スキャナーを使用するため、従来の粘土のような型取り材に比べて、不快感が少なく快適にお受けいただけます。その後採取した歯型を利用して、患者様専用のマウスピースを作製します。所要時間はおよそ60分です。
- 04
マウスピースを患者様へお渡し
歯型を採取してから数週間後にマウスピースが出来上がるので、完成次第当院にてお渡しいたします。初回の装着時には、治療期間中の注意点(着脱の仕方、装置を外しているときの保管方法、装着推奨時間)を、歯科医師が丁寧にご説明いたします。
FAQ マウスピース矯正の
よくある質問
治療期間は平均どのくらいかかりますか?
症例やお口の中の状態によって治療期間は前後しますがほとんどのケースは1年~2年程です。
治療中に痛みはありますか?
歯を動かしていく時の痛みは多少ありますがワイヤーでの治療に比べるとトラブルは起こりにくいです。
痛みがある場合の対処法は?
我慢できない程の痛みでしたらマウスピースを外していただいて大丈夫です。
費用はどのくらいかかりますか?
治療難易度によって変わってきますが30万円~90万円程です。
支払い方法や支払い回数は選択できますか?
はい、できます。当院指定のデンタルローンにてお支払いください。
何歳から治療できますか?
大人の歯が生え揃う12歳ごろからできます。
食事するときも、矯正装置の装着は必要ですか?
食事の前は外して、歯磨きをしてから装着してください。
マウスピースが壊れた時はどうすればいいですか?
お持ちでしたら一つ前のマウスピースを装着してください。